
🦷 5ヶ月の積み重ねが形になった最終ステップ
Step19まで進んでみて感じたのは、 「毎日の変化は小さいけれど、振り返ると確実に整っている」ということ。
正直、日々の生活の中では大きな変化を実感する瞬間は少なかったです。 でも、初回の写真と比べると一目瞭然。 前歯の重なりも、歯列の角度も、全体のバランスも見違えるほど整っていました。
「ゆっくりだけど確実に動いていたんだな」と実感できた瞬間です。
▼初回来店時

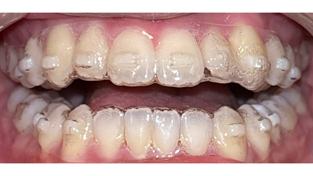
▼19Step目(4ヶ月目)

🦷 痛みは最初の3日だけ。あとは快適に進んだ5ヶ月
矯正を始めた最初の3日間は、歯が押されるような圧がありました。 でも、それ以降はほとんど痛みなし。
たまに装着の角度が悪いと歯茎に当たって痛いこともありましたが、 コツを掴むとスッとまっすぐ装着できるようになり、問題なく続けられました。
「痛みが少ない」というのは、マウスピース矯正の大きなメリットだと改めて感じました。
👜 生活への馴染み方は“完全に習慣化”
5ヶ月続けてみて、マウスピース生活は完全に日常の一部に。
- ケースは小さくて軽い
- 外出先でも取り外しが簡単
- 食事のタイミングも自然に調整できる
- 装着時間の管理も習慣化
「矯正しているのに、生活がほとんど変わらない」 これは本当に大きなストレス軽減ポイントでした。
📱 LINEサポートの柔軟さに助けられた
途中、仕事が忙しくて装着時間が足りない時期がありました。
そのときLINEで 「このステップ、もう一周伸ばしたいです」 と相談したら、すぐにOKの返信が。
無理に進めず、自分のペースで調整できるのは本当にありがたかったです。
🦷 ホワイトニングも同時にできるのが嬉しいポイント
Oh my teethは矯正と同時にホワイトニングもできるのが魅力。 (僕はあまりちゃんとできていなかったですが…笑)
矯正が終わった今、 「次はホワイトニングをしっかりやって仕上げたい」 という気持ちが強くなりました。
📝 Step19を終えてのまとめ
- 5ヶ月の積み重ねで歯並びが確実に整った
- 痛みは最初の3日だけで、その後は快適
- マウスピース生活は完全に習慣化
- LINEサポートが柔軟で安心
- ホワイトニングも同時にできる
「やってよかった。時間はかかったけど、その分しっかり変わった。」
そんな満足感で最終ステップを終えることができました。
次回は、保定期間(リテーナー)に入ってからの記録もまとめていく予定です。 矯正後の歯並びをキープするためのポイントや、実際の生活の変化も詳しく書いていきます📖✨














コメントを残す